Siêu âm là phương pháp thăm khám đầu tay giúp xác định dấu hiệu của lạc nội mạc tử cung thông qua việc phát hiện mô và u nang. Đây là một thủ thuật đơn giản, an toàn thường được chỉ định trong chẩn đoán lạc nội mạc tử cung. Cùng tìm hiểu rõ hơn về quy trình, rủi ro và những thông tin liên quan đến hình ảnh siêu âm lạc nội mạc tử cung qua bài viết.
Siêu âm có phát hiện lạc nội mạc tử cung?
Siêu âm có phát thể hiện lạc nội mạc tử cung bằng việc cho thấy các khối mô lớn hoặc sẹo có khả năng là dấu hiệu của bệnh. Siêu âm có thể xác định bệnh lạc nội mạc tử cung ở buồng trứng nhưng không thể cho thấy các mảnh mô nhỏ (loại lạc nội mạc tử cung phổ biến). Cụ thể, hình ảnh lạc nội mạc tử cung trên siêu âm có thể cho thấy:
- Mô nội mạc tử cung chuyển thành u nang (u lạc nội mạc tử cung), thường gặp nhất ở buồng trứng.
- Mô nội mạc tử cung nằm sâu trong ruột hoặc bàng quang (lạc nội mạc tử cung thâm nhiễm sâu, hay DIE). Những tổn thương này có xu hướng phát triển sâu hơn 5 milimet (mm).

Siêu âm không thể hiển thị mô lạc nội mạc tử cung nhỏ và nằm trên bề mặt của một cơ quan (lạc nội mạc tử cung nông). Các tổn thương nhỏ hơn 5 mm. Đây là loại lạc nội mạc tử cung phổ biến nhất.
Vấn đề là ngay cả khi siêu âm cho thấy mô không thuộc về, vẫn không có cách nào để chắc chắn 100% đó là lạc nội mạc tử cung. Cách duy nhất để biết chắc chắn là cắt bỏ mô và xét nghiệm. Khi này cần phải phẫu thuật nội soi ổ bụng. Nhưng siêu âm có thể cho bác sĩ biết rằng bệnh nhân có khả năng bị lạc nội mạc tử cung, giúp việc lập kế hoạch phẫu thuật hiệu quả hơn.
Siêu âm lạc nội mạc tử cung là gì?
Siêu âm lạc nội mạc tử cung bao gồm đánh giá kỹ lưỡng tử cung và buồng trứng bằng siêu âm độ phân giải cao và đầu dò ba chiều, cũng như các cơ quan vùng chậu khác như bàng quang, trực tràng, dây chằng tử cung và âm đạo. Với bệnh lạc nội mạc tử cung siêu âm sẽ thấy các mảnh mô tương tự như mô lót tử cung (nội mạc tử cung) có thể xuất hiện ở những nơi bên ngoài tử cung, như buồng trứng, bàng quang và ruột. Mô không đúng vị trí này có thể bị viêm, phát triển thành u nang hoặc khối u và gây ra các triệu chứng khó chịu, như đau bụng kinh.
Siêu âm lạc nội mạc tử cung thường là qua ngả âm đạo và kỹ thuật này sử dụng sóng âm để tạo hình ảnh bên trong cơ thể. Siêu âm không cung cấp đủ thông tin để chẩn đoán lạc nội mạc tử cung vì nó chỉ cho thấy các u nang hoặc khối u lớn hơn, không thấy các khối u nhỏ hơn. Nhưng nó cung cấp dữ liệu để bác sĩ có thể sử dụng để quyết định các bước tiếp theo khi đưa ra chẩn đoán. Siêu âm cũng có thể cung cấp thông tin để bác sĩ đề xuất phương pháp điều trị.
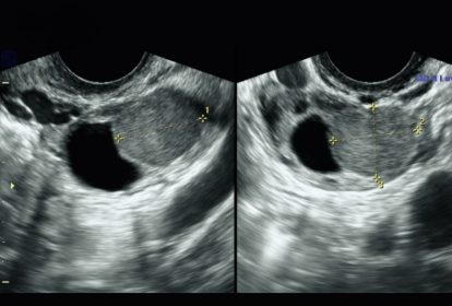
Những hình ảnh lạc nội mạc tử cung trên siêu âm

Chỉ định siêu âm lạc nội mạc tử cung khi nào?
Siêu âm lạc nội mạc tử cung có thể được bác sĩ chỉ định trong các trường hợp sau:
- Chỉ định ở những phụ nữ bị đau bụng kinh dữ dội, đau khi giao hợp (quan hệ) hoặc đau vùng chậu…
- Sử dụng cho việc khám sức khỏe khi nghi ngờ lạc nội mạc tử cung hoặc đối với u nang lạc nội mạc tử cung (u lạc nội mạc tử cung hoặc u nang “chocolate”) trên siêu âm thông thường, liên quan đến các ổ lạc nội mạc tử cung sâu trong hơn một nửa số trường hợp.
- Hình ảnh lạc nội mạc tử cung trên siêu âm có thể được dùng khi bác sĩ muốn loại trừ các tình trạng có chung triệu chứng với lạc nội mạc tử cung hoặc xem xét kỹ hơn khối u mà họ phát hiện thấy trong quá trình khám vùng chậu.
- Theo dõi khả năng lạc nội mạc tử cung hoặc lạc nội mạc tử cung thâm nhiễm sâu. Siêu âm có thể giúp bác sĩ theo dõi cách u nang phản ứng với phương pháp điều trị mà không cần chẩn đoán chính thức để nhận các phương pháp điều trị lạc nội mạc tử cung thông thường, như thuốc tránh thai và progesterone, giúp làm giảm các triệu chứng.
- Chuẩn bị nội soi ổ bụng: Siêu âm có thể cho bác sĩ biết lạc nội mạc tử cung và u nang ở đâu để dễ dàng loại bỏ hơn trong quá trình nội soi ổ bụng. Nếu mô nằm gần một cơ quan nhạy cảm như bàng quang hoặc ruột, bác sĩ có thể lựa chọn đúng chuyên gia để hỗ trợ như bác sĩ tiết niệu hoặc bác sĩ phẫu thuật đại tràng…
Cần chuẩn bị gì trước khi siêu âm lạc nội mạc tử cung?
Trước khi tiến hành siêu âm lạc nội mạc tử cung bác sĩ sẽ cung cấp cho bệnh nhân các hướng dẫn cần thiết để chuẩn bị cho quá trình siêu âm diễn ra thuận lợi, hiệu quả. Bác sĩ có thể yêu cầu bệnh nhân thực hiện một số điều liên quan đến thủ thuật như để bàng quang rỗng hoặc bàng quang đầy…
Để quá trình siêu âm lạc nội mạc tử cung được tối ưu, hiệu quả bệnh nhân cần thực hiện theo các hướng dẫn từ bác sĩ chuyên khoa và xem xét cẩn thận tất cả danh sách kiểm tra trước thủ thuật.
Quá trình siêu âm lạc nội mạc tử cung như thế nào?
Siêu âm lạc nội mạc tử cung cho phép bác sĩ nhìn vào bên trong khoang chậu của bệnh nhân, cung cấp góc nhìn cận cảnh các cơ quan bị ảnh hưởng nhiều nhất bởi lạc nội mạc tử cung, như buồng trứng, bàng quang và ruột. Thông thường, để chẩn đoán lạc nội mạc tử cung sẽ sử dụng phương pháp siêu âm qua ngã âm đạo theo quy trình sau:
- Bác sĩ siêu âm sẽ đưa một thiết bị đầu dò đã được bôi trơn vào bên trong âm đạo của bệnh nhân.
- Đầu dò phát ra sóng âm ghi lại cấu trúc và hình dạng bên trong vùng xương chậu của bệnh nhân.
- Bác sĩ sẽ di chuyển đầu dò nhẹ nhàng để có thể ghi lại các cấu trúc từ nhiều góc độ khác nhau khi đầu dò nằm bên trong cơ thể.
- Hình ảnh được ghi lại bởi đầu dò sẽ hiển thị trên màn hình mà bác sĩ và bệnh nhân có thể nhìn thấy qua màn hình.
Kết quả siêu âm lạc nội mạc tử cung giúp đánh giá gì?
Kết quả sau siêu âm có thể cho ra kết quả bình thường hoặc có vấn đề. Khi có vấn đề siêu âm có thể cho thấy các dấu hiệu của bệnh lạc nội mạc tử cung (như sẹo) hoặc cho thấy u lạc nội mạc tử cung hoặc khối u ruột.
Tùy thuộc vào kết quả sau siêu âm lạc nội mạc tử cung, bác sĩ có thể đề xuất các thủ thuật tiếp theo, như chụp cộng hưởng từ (MRI) hoặc nội soi ổ bụng, để xác định rõ hơn khối u xuất hiện trong quá trình siêu âm của bệnh nhân.
Khi đã xác định chính xác tình trạng lạc nội mạc tử cung, bác sĩ có thể đề nghị bệnh nhân bắt đầu điều trị các triệu chứng của bệnh lạc nội mạc tử cung.
Rủi ro có thể gặp khi siêu âm lạc nội mạc tử cung
Siêu âm không bao giờ có thể loại trừ hoàn toàn bệnh lạc nội mạc tử cung vì loại lạc nội mạc tử cung nông không thể chẩn đoán được bằng siêu âm. Nếu mô nội mạc tử cung của bệnh nhân nhỏ và xuất hiện trên bề mặt các cơ quan thay vì bên trong chúng, siêu âm sẽ không phát hiện ra. Khi này hình ảnh lạc nội mạc tử cung trên siêu âm là bình thường, ngay cả khi bệnh nhân có thể bị lạc nội mạc tử cung.
Khi siêu âm lạc nội mạc tử cung, đặc biệt là siêu âm qua ngả âm đạo, bệnh nhân có thể cảm thấy hơi khó chịu. Thông thường, đây không phải là một thủ thuật gây đau đớn, nhưng có thể gây đau do vị trí và bản chất của lạc nội mạc tử cung.
Câu hỏi thường gặp
1. Siêu âm lạc nội mạc tử cung có đau không?
Siêu âm có thể gây khó chịu khi bệnh nhân bị lạc nội mạc tử cung nhưng siêu âm là phương pháp an toàn. Hãy cho bác sĩ chăm sóc sức khỏe của bạn biết nếu bạn cảm thấy đau trong quá trình siêu âm. Hãy cho bác sĩ biết nếu cảm thấy đau trong quá trình siêu âm.
2. Siêu âm lạc nội mạc tử cung có chính xác không?
Siêu âm có thể cho thấy các cục mô lớn hoặc sẹo có khả năng là dấu hiệu của lạc nội mạc tử cung. Siêu âm rất tốt trong việc xác định lạc nội mạc tử cung ở buồng trứng của bệnh nhân. Nhưng siêu âm không thể cho thấy các mảnh mô nhỏ là loại lạc nội mạc tử cung phổ biến nhất.
3. Bệnh nhân được chẩn đoán lạc nội mạc tử cung sau siêu âm nên làm gì?
Sau khi siêu âm vùng chậu, bệnh nhân có thể sẽ cần thực hiện thêm các xét nghiệm khác để xác nhận chẩn đoán lạc nội mạc tử cung. Bác sĩ có thể tiến hành chụp MRI để tạo ra hình ảnh có thể giúp nhìn thấy toàn bộ mức độ lạc nội mạc tử cung và xác định xem có cần phẫu thuật để cắt bỏ mô hay không. Bác sĩ cũng có thể chỉ định bệnh nhân nội soi ổ bụng để quan sát trực tiếp mô trong hệ thống sinh sản. Nội soi ổ bụng là cách phổ biến nhất để chẩn đoán lạc nội mạc tử cung và là cách duy nhất để có được chẩn đoán xác định lạc nội mạc tử cung.
4. Siêu âm lạc nội mạc tử cung ở đâu uy tín?
Bệnh lạc nội mạc tử cung là một bệnh toàn thân mãn tính có thể gây đau, vô sinh nữ và giảm chất lượng cuộc sống. Do đó, bệnh cần được chẩn đoán sớm để kịp thời có phương pháp điều trị phù hợp, hạn chế những rủi ro, biến chứng. Ngoài ra, việc lựa chọn địa chỉ thăm khám uy tín cũng có vai trò quan trọng trong việc xác định chính xác tình trạng bệnh. Bởi để đảm bảo tính chính xác cao, chẩn đoán lạc nội mạc tử cung không chỉ dựa trên kết quả siêu âm mà còn cần kết hợp với các phương pháp xét nghiệm khác.




